
I bakre raden till vänster ligger en lite snygging. Det är jag Charlie eller snarare Kragen som jag kallades av min dåvarande husse och matte.
Ibland blir mina nära snudd på fåniga, nämen å, halledudane kan det låta... jag är väl lika söt nu... Ja absolut säger de då, och du har betydligt mer personlighet!
Nu har de fattat att de älskar mig med fel och brister. Småttingar, de är ju bara söta, rätt dumma faktiskt, om ni frågar mig...
Idag är det min dag!!!

Det här är min favoritplat
Man skulle kunna kalla mig för soffliggare ;-)
För när man heter Charlie har man vett att göra det bekvämt för sig.
Är det inte i soffan så är det i mor och fars mjuka sängar
Jo, jag har många följeslagare. Det här är renen Helge, han är en av alla mina leksaker. Om inte jag har asat ut dem eller morsan har lagt dem i min leksakskorg, så dräller de i halva huset.
Det är för mycket ordning hit och ordning dit... Precis som om det var det viktiga i livet.
Det finns nog de som skulle säga att jag är bortskämd för visst förväntar jag mig något gott eller spännande i kassen från affären... Varenda gång! Mor och far säger att om man ska ha djur så ska de ha det bra. Det gillar jag!

Ja, jag är en fena på att öppna paket. Här är det julklapp, men idag är det födelsedagspresent. En jätteful lila apa med grönt huvud! Kunde nästan inte låta bli att bita i sönder den fördetsamma, men då gormade matte och sa att det var väl ändå onödigt!
Jag är mycket hjälpsam
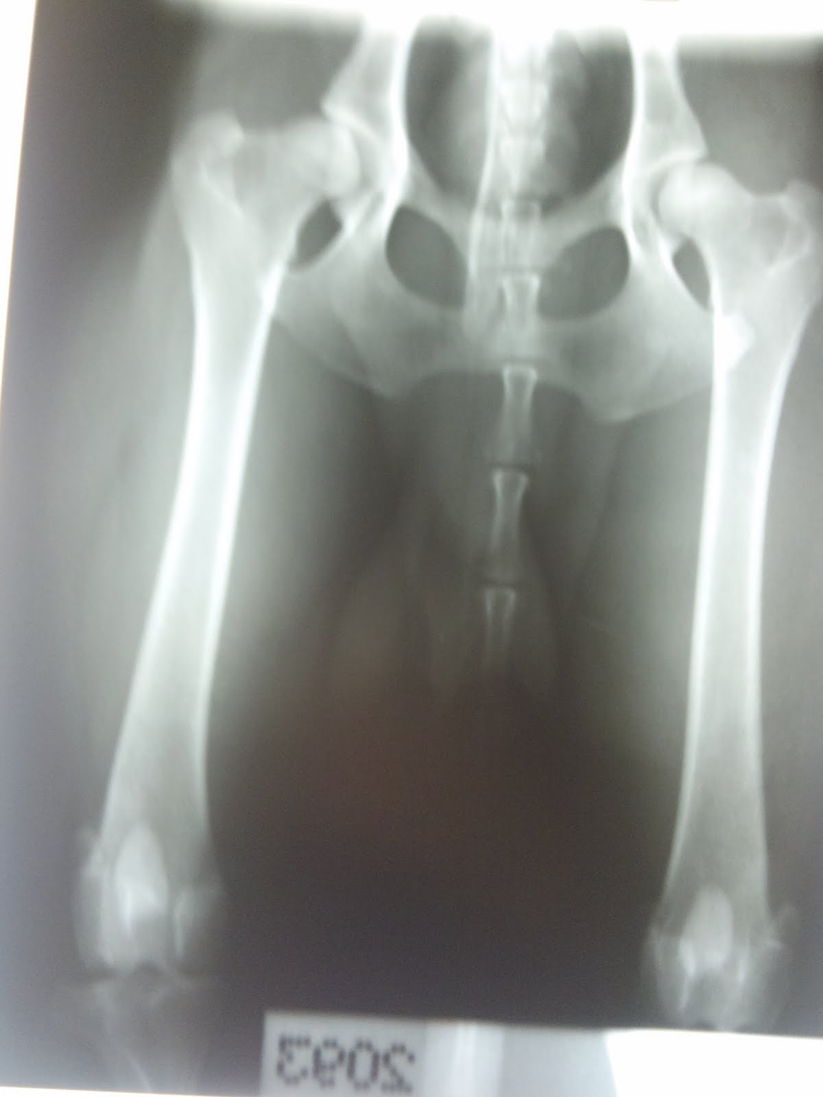
Jo, jag har ju problem med mina höfter och visst är jag något av en linslus. Men ibland får man bara ställa upp på att familjen vill spöka ut/till mig på olika sätt. Men den här bilden vad är det för nytta med den? Det är ju inte ens likt! Dessutom fick jag ju en spruta så jag vet ju inget om hur de mästrade med mig. Är det inte att gå lite väl långt? Det borde väl räcka med att jag vet hur det är att ha ont. För det har jag ibland, faktiskt. Men då får jag tabletter av Mor och Far och det får mig att koppla av och tänka på något annat.
Det mest idiotiska tilltaget var nog ändå då matte och husse tänkte att jag skulle gå och lära mig simma för att träna upp musklerna... Det utan att fråga mig först. Jag kunde ha berättat med en gång att det absolut inget var för mig.
Jag fick ju panik då jag inte kände botten och blev stressad av att paddla runt från kant till kant.
Då är det bra mycket skönare med ett dopp i havet.
Och bor man i Åhus som vi har förmånen att göra så är; vid stranden ofta...

Ibland får lille Bus följa med. Ok visst är han också söt, men i mitt tycke är han väl puttenuttig. Ska sanningen fram så tycker jag att de håller på väl mycket med andra, de har ju mig...
Såna där små är som mina pipleksaker, trycker man med nosen på dem... Ja vad händer då tror ni?
I vår familj älskar vi utfärder... att ta frukosten och tidningen med ner på skjutfältet en helgmorgon... Då känns det att man lever!
Snacka om vad vacker fot jag kan gå om bara husse förstår att hålla en snacks inom och utom räckhåll. Vem gillar inte att vara duktig!

Här har matte asat iväg oss till ett ställe som heter Kjugekull. Där är det mycket naturskönt och härlig luft. Här är spännande marker där snapphanarna hade mängder av gömställen. Tänk vad kul man skulle kunna ha här om nu inte matte måste kolla på alla möjliga och omöjliga växter. Jag tycker att vi har så det räcker.
Hallå, kommer du inte snart!!! Jag luktar att de serverar våfflor här. Kan det inte vara något?
Det är en del jag inte gillar, som dammsugaren. Den vi har är av modell supersilent hävdar mor och far, men det fattar då inte jag! Hallå de säger att jag skitar ner, men det är väl ändå världsligt!
Jag tycker inte heller om bilar. De är oberäkneliga och låter alldeles förskräckligt. Och vi ska inte snacka om den lille gule som rivstartar och tvärstoppar... och inte nog med det; Den där hemske mannen som tvunget ska stoppa skräp i vår fina brevlåda. Det tycker jag är onödigt och så fort jag har chansen så skäller jag ut honom.
Medelpunkt... ja, vem vill inte vara det... Mor har sina brevkompisar och ibland tycker jag faktiskt att hon ägnar sig för mycket åt den där DUMBURKEN... att man ska behöva säga ifrån om att den är nyttigt att komma ut och röra på sig. Nu har hon ordnat så att jag har fått ett par mejlkompisar. Men ska sanningen fram så är det inte mycket jag förstår av det.
Då är det trevligare med TV... men det ska vara med aktion och självklart djurprogram.
Husse är min ögonsten, och det är ömsesidigt. Här väntar jag på att han ska komma hem så vi kan ha det lite kul.
Visst gör jag mig i Bukettspirean!
Vem gillar inte att gosa, här är det med Eva-Katrine. Särskilt skönt är det när de pillar på bröstet och bakom öronen. Ibland är det skönt mellan tårna också men det är de gånger jag inte känner mig kittlig. Eva-Katrine älskar att snusa på mina tassar kanske för att jag har så god fotsvett.
Ja, jag gillar Eva jättemycket, men hon är för mycket ute och ränner. Då är det mer reda med Kalle. Han är aldrig borta så länge. Ibland känns det som om de inte är ärliga mot mig. Det blir så jobbigt att gå runt och längta. Jag gillar återkommande rutiner. När matte och husse säger Kommer snart och man kan lita på att det verkligen är så. Faktiskt har jag precis som Skalman en sådan där "mat sov- och kissklocka".
Mor tar jag för självklar hon ska bara finnas där för mig hela tiden. Promenader, förse mig med mat och godsaker som en och en annan ostbit, massage... osv. Skulle hon vara borta någon gång så inser jag vidden av detta och måste sedan följa henne i hälarna hela tiden... tills det händer något annat och mer spännande...
9 kommentarer:
Åh - dessa underbara hundar! Skönt att Charlie kan uttrycka sig så bra, eller hur?
Kram från en hundälskare........
En härlig hund och en underbar berättelse om honom.
Anje
Ja du Charlie! Jag känner igen det mesta från ditt dagliga liv.Utflykter, trädgårdsarbete, vakta på ekorrar, skator och annat otyg.Inte kul när matte är borta. Min var försvunnen en hel vecka och luktade jätteskumt när hon äntligen dök upp igen. I går kväll hörde jag ett hjortbröl väldigt tydligt och nära så det var bara att sätta igång och skälla. Husse och matte som inte begriper bättre, påstod att det var på TV men jag vet nog hur de smyger runt här. Man får se upp!
Hälsningar
Chessie
Åhhh...vilken trevlig läsning som innehåller allt för kärleken till ett husdjur. Ömhet, lek och bus, vila och sköna stunder, visst är de älskliga och väldigt svårt att skiljas ifrån.
God fortsättning på det nya året!
Kram /bea
Hei Charlie !
For et flott innlegg du har fått i hop! Jeg synes jeg kjenner deg mye bedre nå! Mor sier at jeg må gratulere med dagen, jammen har du også vært liten, men vi blir da så store og vakter hus og hjem! Jeg synes ikke noe om mannen som tømmer sopor, da sier jeg i fra! Håper du fikk en fin fødselsdag for det fikk ikke jeg! Kan du tenke deg! De glemte meg helt bort på min fødseldag! Det er ikke til å tro, men nå har de vært rause med godis så jeg får vel unskylde dem!
Ha det fint Charlie og god bedring med dine hofter!
Stor Bostonklem fra Casper! Mor hilser også og ønsker GODT NYTT ÅR til deg og dine!
Tack för en rolig och informativ läsning om Charlie bus. Tycker jag känner honom lite nu...påminner lite om mina busfrön. Hundar är en del av livet!
Kram och god fortsättning!
Krama den goa vovven och gratta.
Visst är det härligt med hundar.
Gillar inte alls snön vi fått och så blött och slabbigt, kanske fryser det lite på i natt. Ska till Karlstad i morron (25 mil blir det fram och tillbaka). Sedan till Sunne på onsdag. Gillar inte sådana utflykter när det är vinterväglag. Men jag får väl ta det lugnt.
Önskar er alla en god fortsättning.
Kramar Birgitta
Hej Ingela!
God fortsättning.
Så söt han är din Charlie.
Kram
Grattis till er Charlie!
Just min åsikt att så gott som han har det ska alla goa husdjur ha det!
Ha en go onsdaag kram Monica
Skicka en kommentar